60代女性・眼瞼下垂症手術の術後経過
眼瞼下垂とは、マブタを開きにくい状態を言い、病気の1つに数えられます。
一方、マブタの皮膚がたるむ結果としてなる”眼瞼下垂っぽい感じ(偽性眼瞼下垂)”は、病気とは認定されません。
美容外科で扱う眼瞼下垂とは、たるみを伴う眼瞼下垂です。このため、整容面を意識した手術となります。
「二重ラインをキレイに作りたい」「たるみをイイ感じに取りたい」という方は、ぜひ私にご相談ください。
今回のモニターさんは、「マブタを開けにくい」との主訴で来院されました。
たるみを伴う眼瞼下垂と考え、切開式眼瞼下垂手術を行いました💫

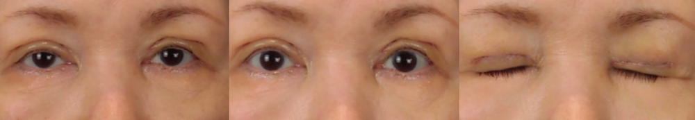
写真1 : 術前 (左)普通の状態・(右)見開いた状態。たるみは皮膚だけではなく、挙筋腱膜にもあると考えました。

写真2 : 術直後 (左)普通の状態・(右)閉じた状態。直後なので浮腫強く出ており、マブタも閉じにくくなっています。

写真3 : 術後1週間 (左)普通の状態・(中)見開いた状態・(右)閉じた状態。抜糸の頃には、マブタは閉じやすくなっています。

写真4 : 術後2週間 (左)普通の状態 ・(中)見開いた状態・(右)閉じた状態。一気に浮腫が引いたことが分かると思います。

写真5 : 術後1ヶ月 (左)普通の状態・(右)閉じた状態。二重の幅が狭まり、ナチュラルになってきました。

写真6 : 術後3ヶ月 (左)普通の状態 ・(中)見開いた状態・(右)閉じた状態。普通の状態でも、マブタの開きが良くなりました。

写真7 : 術後6ヶ月 (左)普通の状態 ・(中)見開いた状態・(右)閉じた状態。若々しいマブタに落ち着きました。
いかがでしたか?もともと素敵なモニターさんですが、眼瞼下垂症手術で大幅に若返りましたね👍
マブタの施術は、究極のアンチエイジング手術であることを認識いただけたと思います。
マブタは、患者さん各々で違います💦それぞれに合った形をご案内しています💡
ぜひ、下北沢スキンクリニック院長・保坂までご相談ください⭐️
特に、切開系手術は得意としております。
ご予約はLINEが便利です▶︎ https://lin.ee/OkJVzHN
メールでのやり取りも可能となっております▶︎ info@shimokitazawa-skin.com
<切開式眼瞼下垂症手術>
- 術式の概要
全切開手術に準じてマブタを切開します。眼瞼挙筋腱膜を短縮し、瞼板と縫合します。二重ラインを作成した後、皮膚を縫合閉鎖します。 - リスク・副作用
内出血、むくみ、キズアト、左右差、後戻りなど。 - 価格 : 約50.000円(保険適用,3割負担の場合)
- 保険適用については、診察させていただき、最終判断させていただいております。